Family-Centered Orthodontic Treatments

Personalized Orthodontic Transformations begin with you in Mind

The Dadjoo Orthodontics Difference

Every aspect of the patient experience matters to us. Our office is modern, full of natural light, and equipped with the latest technology. But most importantly, it’s staffed by people who believe every patient deserves empathy and transparency. Whether you’re the parent of a child in need of braces or an adult exploring treatment for the first time, we’re here to help.

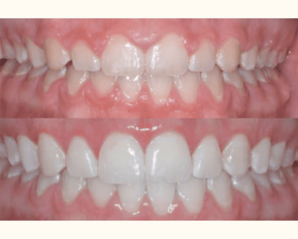
Gummy Smile

Part of our treatment goal is to balance the gum-to-tooth ratio, enhancing the aesthetics of your smile.

Airway Orthodontics

We focus on guiding facial growth to support healthy airway function, beautiful smiles, and life long health. At our practice, its more than just teeth!

Happy families choose Dr. Dadjoo

Family-Centered

We specialize in treating busy families. We offer more clinical days, more evening appointments, and more weekend appointments than other practices in Porter Ranch.

Choosing an Orthodontist in Porter Ranch can be confusing…

Feel the Difference at Dadjoo Orthodontics

Choosing an orthodontist can be a difficult choice when you’re surrounded by qualified dentists. Thats why Dr. Dadjoo published his book “Smiles That Last” on Amazon and Kindle. Our approach combines super personalized care with the latest innovations in orthodontic technology. We believe in great customer service and creating a relationship that lasts beyond the treatment process.

We hope you find our office atmosphere to be refreshing, uplifting, and healing at every visit. From your first tour, to discovering the most advanced treatments available, we aim to do it differently at Dadjoo Orthodontics. We’ve revolutionized orthodontic care in Porter Ranch and were the first to focus on families, introduce airway protocols, incorporate light gum procedures, and provide outstanding customer service. Dr. Dadjoo’s world-class training mixed with his relentless ambition to provide his patients with the best experience possible is how we’ve earned over 136 five star reviews over Google and Yelp. At our core, we are family-centered, caring people, here to take care of you. Our specialized team is composed of lifelong learners, writers, parents, and caretakers constantly updating our skills and knowledge to provide the very best outcomes. We hope you choose us because you feel most comfortable here. When you do choose us, you’re not just getting a service; you’re becoming part of a community that genuinely cares about your well-being and is dedicated to seeing you smile confidently.

We have earned over 135+ Five Star Reviews on Google and Yelp!

  • I have been going to Dr. Dadjoo for a bit now and with every appointment that passes I can’t wait for the next to come. The positivity that exudes the moment you walk in is so so refreshing. Him and his team are very professional and good at what they do! The care and attention that I’ve received have been absolutely wonderful. Dr. Dadjoo takes the time to explain everything clearly and makes sure I am heard, comfortable, and confident regarding my smile. Not one bad thing can be said about this place they are incredible!! Dr. Dadjoo is truly the best of the best.
    Ella B.
    Patient
  • Dr. Dadjoo is a true expert, and the improvements I see in my kids teeth speak for themselves.The office is clean, modern, and comfortable, making each visit a pleasant experience. I am so grateful for the care and attention my kids get each time from him and his wonderful team.

    If you’re looking for an orthodontist, look no further than Dr. Dadjoo’s office.


    He is without a doubt THE BEST!!!
    Lilit V.
    Parent of Patients
  • We love Dr. Dadjoo. He is friendly, professional and a great orthodontist! My son’s smile is fabulous!
    Michelle K.
    Parent of Patients

Award Winning Ortho.

Our team led by board certified orthodontist, Dr. Dadjoo, is ready to see you. We’re fully specialized, totally excited, and ready to see you transform your smile in Porter Ranch!

🔥 iTero scan, Photos, Xrays, and laughter included