Clear, Confident Smiles Start Here – Invisalign in Porter Ranch
Say Goodbye to metal braces and hello to Invisalign’s clear solution.
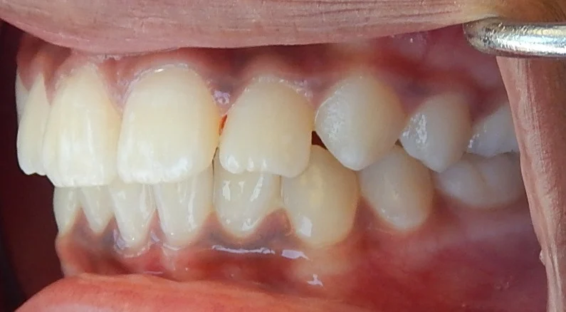
See Real Invisalign Transformations from Porter Ranch Patients
6 Reasons to Choose Invisalign with Dadjoo Orthodontics
Invisalign Consultation in Northridge and Porter Ranch
Schedule a free consultation for Invisalign.
Treatments last as short as 6 months to more commonly 12-24 months.


Invisalign checkups are around 10-12 weeks
Your HSA, FSA, insurance, and finance plan can pay for invisalign treatment.
Dr. Dadjoo’s a Top Rated Invisalign Orthodontist in Porter Ranch.
Our caring team is gentle and listens to every patient’s needs before recommending treatment.


We Prioritize Your Experience
We have earned over 135+ 5-star reviews
Choosing an Invisalign Provider in Northridge and Porter Ranch
Dr. Dadjoo is a board certified orthodontist, unlike general dentists providing Invisalign treatment, he has completed 10,000 hours of training at the University of Rochester in Orthodontics. His professional career revolves around learning and practicing the newest orthodontic techniques and technologies.
Invisalign is a revolutionary technology that allows for precise and comprehensive tooth movement without the need for brackets or wires. This advanced system has significantly outpaced conventional orthodontic methods over the past decade, making it possible to treat virtually any type of bite. With an experienced, board-certified orthodontist like Dr. Dadjoo overseeing your treatment, you can rest assured that Invisalign is a viable option for your orthodontic needs. So, how much does Invisalign treatment cost? Here’s a breakdown:
1
Length of Treatment Time:
- Short Treatments: Some cases can be resolved in as little as 3-6 months.
- Average Length: Most treatments last around 18 months (a year and a half).
- Long Treatments: In more complex situations, treatment can extend up to 24 months (2 years).
2
Complexity of the Treatment:
- Severe Crowding: More complex cases involving significant tooth crowding.
- Bite Alignment Issues: Addressing problems with how the teeth fit together.
- Jaw Joint Health: Ensuring the health and function of the jaw joints.
- Underlying Skeletal Conditions: Treating the root causes of teeth misalignment.
3
Need for Auxiliary Appliances:
- Elastics, Motion Carrier Appliances, Expanders, Bite Ramps, Attachments, and Mandibular Advancement: These are used in cases of severe misalignment and crowding to work on the jaw bones themselves and ensure effective treatment.
Invisalign’s innovative approach, guided by experts like Dr. Dadjoo, ensures that each patient receives personalized care tailored to their specific orthodontic needs. This customized treatment plan not only enhances the efficiency of the process but also maximizes its effectiveness, ensuring that you achieve the smile you’ve always wanted.
Embarking on your Invisalign journey is an investment in your smile and overall oral health. With advanced technology and expert care, you can achieve stunning results without the discomfort and visibility of traditional braces. Ready to start your journey? Contact us today for a consultation and take the first step towards your perfect smile!
FAQ
How Invisalign at Dadjoo Orthodontics Works
Invisalign is a modern orthodontic treatment that uses custom-made, clear plastic aligners to gradually move your teeth into the desired position. Unlike traditional braces, these aligners are virtually invisible and can be removed for eating, brushing, and flossing.
Dadjoo Orthodontics Invisalign Duration
The duration of Invisalign treatment varies depending on the complexity of the case but typically ranges from 12 to 18 months. Your orthodontist will provide a more accurate timeline after evaluating your specific needs.
Invisalign Usage Time
For the best results, it’s important to wear your Invisalign aligners for 20 to 22 hours per day, only removing them to eat, drink, brush, and floss.
Dadjoo Orthodontics Invisalign Affect
Some people may notice a slight change in their speech when they first start wearing Invisalign aligners, such as a lisp. However, this is typically temporary and should disappear as you get used to wearing the aligners.
Dadjoo Orthodontics Invisalign Cost
The cost of Invisalign is often comparable to that of traditional braces, but it can vary based on the specifics of your treatment plan. Many dental insurance plans cover Invisalign just as they would other orthodontic treatments.
Yes, you can whiten your teeth during Invisalign treatment. In fact, Dr. Dadjoo pioneered the technique to whiten teeth during Invisalign treatment and published the world’s first Randomized Controlled Trial on the topic [Dadjoo et al.]




















