Braces in Porter Ranch | Dadjoo Orthodontics
Winning Smiles Start Here | Braces in Porter Ranch
Why Choose Braces At Dadjoo Orthodontics?
Braces for Every Stage of Life
Braces for Kids – Starting as early as age 7
Braces for Teens – The most popular treatment age
Braces for Adults – Its never too late
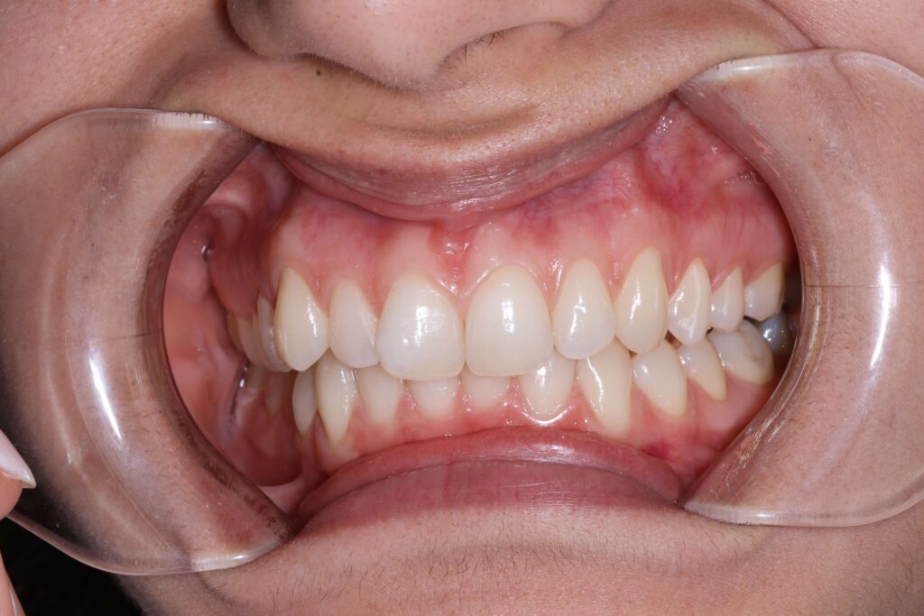
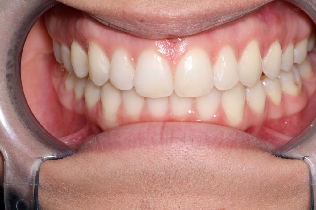
What is a Dadjoo Smile?

Unlike conventional orthodontics, Dr. Dadjoo uses gentle forces designed to protect the health of your teeth and gums while in treatment. Dadjoo Orthodontics achieves a smile that is more than straight teeth—it provides a beautiful, natural smile.
Studies have shown that a fuller smile, with a wider arch, is more attractive. Having the teeth upright and aligned into a smile “arc” can also add to a smile’s appeal.
We call this a Dadjoo Smile.
What makes a Dadjoo Smile different is:
1) Smile Arc
2) Smile Width
3) Hard and Soft tissue contouring


Advanced Technology Drives Our Smiles
Our advanced braces (Damon Ultima and Lightforce) are different, they give you a broader and wider smile with less time and with greater comfort than other services.
See Real Porter Ranch Smile Transformations








Types of Braces for Every Need

The Damon System
The Damon System achieves a smile that is more than straight teeth—it provides a beautiful, natural smile.

Traditional Braces
Traditional braces allow you to choose colors and express your colorful self.

Lightforce Braces
LightForce braces are a more modern and efficient method of treatment compared to traditional metal braces. Using the power of 3D printing, LightForce’s clear braces are fully customized to fit your unique teeth.

Clear Aligners
Clear Aligners like Invisalign, straighten teeth in a more discrete and comfortable way, without braces.
FAQ
Braces Duration
The duration of treatment varies based on individual needs but typically ranges from 18 to 24 months.
Braces Experience
You may experience mild discomfort after braces are first applied or adjusted, but this usually subsides within a few days.
Braces Instructions
Yes! It might take a little adjustment, but you can continue enjoying sports and musical instruments. Protective gear like mouthguards is recommended for sports.
Braces Check-ups
Your orthodontist will schedule regular appointments every 4 to 6 weeks to adjust your braces and monitor your progress.
Ideal Braces Age
Braces are effective at any age. Children, teens, and adults can all benefit from orthodontic treatment. Early consultations can help determine the best time to begin treatment.
Click here to learn what you can and can not eat with braces. TL/DR You should stick with soft foods in the beginning and then slowly introduce textured foods.
-
What to Expect at a Free Orthodontic Consultation in Porter Ranch
In this article, we’ll cover the best time to schedule an orthodontic visit, what to expect during your consultation, and why seeing a board-certified orthodontist like Dr. Dadjoo makes all the difference.
-
Braces or Invisalign: What’s Best for Teens in Porter Ranch?
Hi, I’m Dr. Shaun Dadjoo — a board-certified orthodontist, practice owner, and proud member of the Porter Ranch community. At Dadjoo Orthodontics, we specialize in helping teens and their families make confident, informed decisions about their smile. One of the most common questions we hear is: “Should we choose braces or Invisalign?” The answer depends less…
-
Revamp Your Smile: Discover Superior Metal Braces Expertise in Porter Ranch
Expert Orthodontic Care for Lasting Results Metal braces, a time-tested solution for straightening teeth, trace their origins back to ancient Egyptian times. Initially, gold wires were exclusively used to maintain the straight smiles of royal families. Over the centuries, significant advancements in materials, biology, and clinical techniques have transformed braces into a highly comfortable and…






